Retour aux opérations de la main
Pseudarthrose du scaphoïde
Qu'est-ce qu'une pseudarthrose du scaphoïde ?
La pseudarthrose du scaphoïde est définie par l'absence de consolidation osseuse dans les 6 mois après la survenue d'une fracture du scaphoïde.
Quels sont les os qui composent la carpe ?
Le carpe est formé de huit os, disposés en deux rangées de quatre os. La première rangée s'articule aves les deux os de l'avant-bras (radius et cubitus). La deuxième rangée s'articule avec la première rangée en haut et avec les métacarpes en bas (Figure 1).
Quels sont les symptômes d'une pseudarthrose du scaphoïde ?
Le scaphoïde, principal os première rangée du carpe, est l'os du carpe le plus fracturé (70% des cas). Compte-tenu de sa vascularisation précaire, la consolidation osseuse est difficile à obtenir, surtout en cas de tabagisme actif.
La pseudarthrose du scaphoïde survient en cas de mauvaise prise en charge de la fracture initiale (fracture passée inaperçue, immobilisation de courte durée...).
La pseudarthrose peut être asymptomatique pendant plusieurs mois voire plusieurs années et être révélée à la suite d'un traumatisme bénin.
A l'examen clinique, on retrouve une douleur du bord externe du poignet (tabatière anatomique), exacerbée par la compression du pouce ou lors de l'appui et de l'extension poignet. On peut également retrouver un gonflement du poignet, une diminution de la force de serrage et des amplitudes articulaires.
Quels sont les examens qui confirment une pseudarthrose du scaphoïde ?
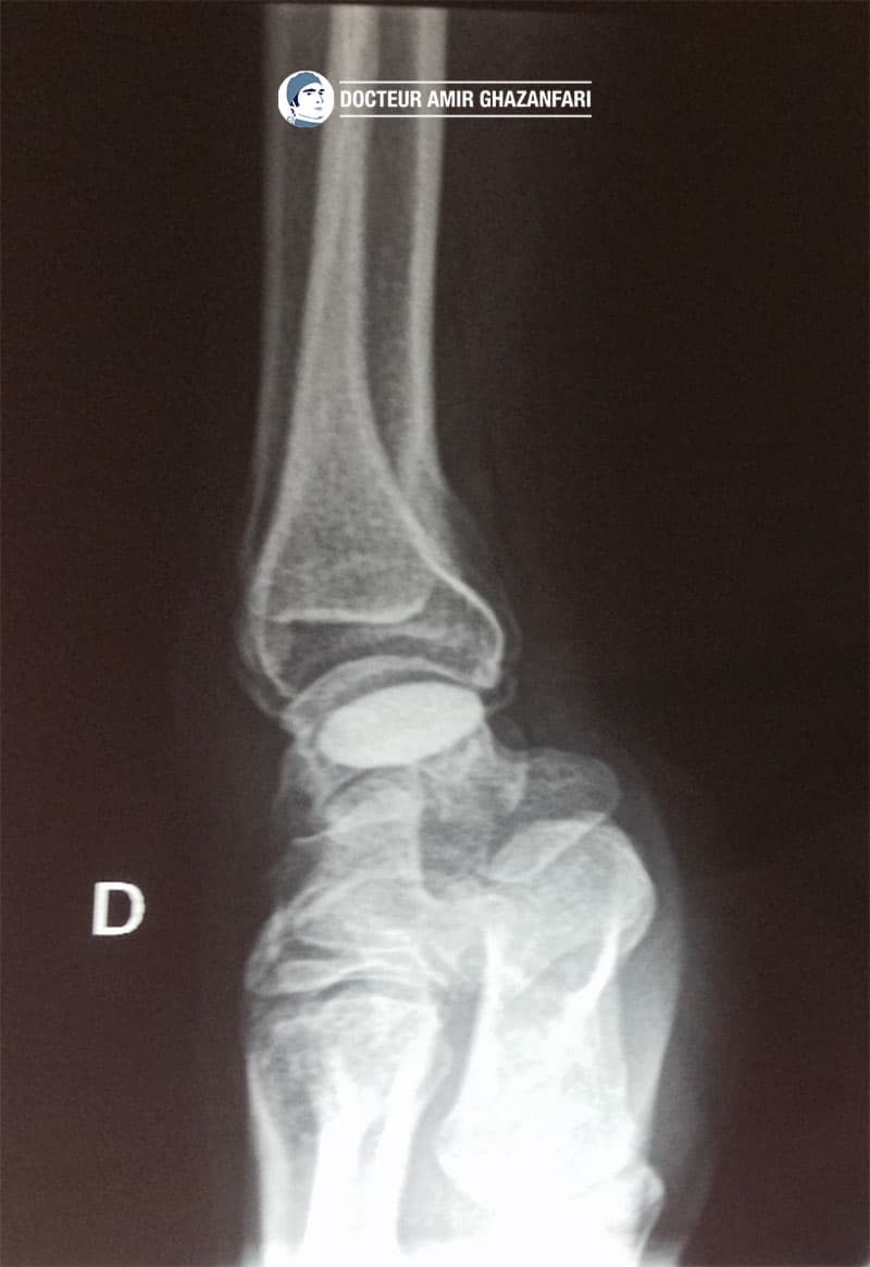
- Les radiographies du poignet permettent de visualiser la pseudarthrose du scaphoïde et une éventuelle arthrose associée (Figure 2).
- L'arthroscanner : un produit de contraste à base d'iode est injecté dans le poignet quelques minutes avant la réalisation du scanner (Figure 3). Cet examen incontournable est le « gold standard » pour l'analyse complète de l'articulation du poignet (os, cartilage et ligaments).
- IRM avec injection de gadolinium : est indiquée en cas de pseudarthrose proximal e ou en cas d'aspect scléreux du scaphoïde, à la recherche d'une éventuelle nécrose osseuse.
Quels sont les traitements chirurgicaux pour une pseudarthrose du scaphoïde ?
La prise en charge chirurgicale précoce d'une pseudarthrose du scaphoïde est indispensable afin de prévenir la survenue d'arthrose du poignet (SNAC Wrist, cf. chapitre spécifique). L'intervention est le plus souvent réalisée sous anesthésie loco-régionale (seul le bras est endormi), en ambulatoire (pas d'hospitalisation).
Les techniques chirurgicales sont nombreuses, le choix étant fait selon la nature de la pseudarthrose et les habitudes du chirurgien.
Greffe osseuse non vascularisée : le scaphoïde est abordé par une courte incision sur le bord antérieur du poignet (Figure 4).
Le tissu cicatriciel de la pseudarthrose est retiré jusqu'à retrouver un os saignant, de bonne qualité. Une greffe osseuse (prélevée au niveau du poignet ou du bassin) est mise en place dans le scaphoïde qui sera ensuite stabilisé par deux broches ou une vis.
- Greffe osseuse vascularisée : indiquée en cas de reprise chirurgicale ou cas de présence de nécrose osseuse préopératoire du scaphoïde. La particularité de cette technique est de prélever une greffe osseuse sur le bord latéral du poignet, elle-même vascularisée par une petite artère (greffon vascularisé selon Zaidemberg). Cette greffe remplacera le tissu cicatriciel de la pseudarthrose et sera fixé par deux broches.
- Greffe osseuse sous arthroscopie : l'exérèse du tissu cicatriciel de la pseudarthrose, la mise en place de la greffe et la fixation du scaphoïde sont possibles sous arthroscopie. La main est installée sur un dispositif de traction (tour de Whipple), une caméra et des instruments miniaturisés sont ensuite introduits dans le poignet par de petites incisions. Il s'agit d'une nouvelle technique ayant de nombreux avantages : cicatrices plus discrètes, préservation de la vascularisation du scaphoïde et diminution de la raideur articulaire post-opératoire.
- Implant scaphoïdien en pyrocarbone APSI (Adaptative Proximal Scaphoid Implant) : cet implant en indiqué en dernier recours, après échec du traitement conservateur. La partie proximale du scaphoïde est retirée et remplacée par cet implant (Figure 6).
Figure 6. Implant scaphoïdien en pyrocarbone (APSI) mis en place dans le cadre d'une pseudarthrose proximale du scaphoïde
Quelles sont les suites post-opératoires après une opération chirurgicale pour un pseudarthrose du scaphoïde ?
L'arrêt du tabac est indispensable afin d'obtenir une consolidation osseuse. Dans les suites post-opératoires, des soins de cicatrice sont réalisés tous les deux jours. Une manchette en résine est mise en place à J7 afin d'immobiliser le poignet sur une période de 6 semaines à 3 mois en fonction de la nature de la pseudarthrose. Une surveillance radiologique régulière est nécessaire dans le suivi post-opératoire (radiographies standards à J7, J45 et un scanner à 3 mois). Les broches sont retirées une fois la consolidation osseuse obtenue (au 3ème mois en général). La rééducation est initiée à l'ablation de l'attelle et est poursuivie sur une période de 6 à 12 mois. La reprise de sport est possible à 6 mois.
Quelles sont les complications possibles après une opération chirurgicale du pseudarthrose du scaphoïde ?
Il n'existe pas d'intervention chirurgicale sans risque de complications secondaires. Les complications peuvent être classées en deux catégories :
Complications non spécifiques :
- Infection du site opératoire pouvant nécessiter une intervention de nettoyage associée à la prise d'antibiotiques
- Hématome pouvant nécessiter une évacuation en cas de menace cutanée ou compression nerveuse
- Algodystrophie. Son apparition est indépendante du type de chirurgie. Elle évolue en deux phases : phase chaude (main gonflée, douloureuse avec transpiration) puis froide (prédominance de la raideur). L'évolution est le plus souvent longue (12-18 mois) et des séquelles sont possibles (douleur et/ou raideur des articulations des doigts et/ou poignet et/ou épaule)
- Accidents liés à l'anesthésie
Complications spécifiques :
- Perte de mobilité : principale conséquence de la chirurgie du poignet, elle peut intéresser la flexion et/ou l'extension du poignet
- Perte de force résiduelle, malgré la consolidation osseuse
- Problèmes liés au matériel : migration de broche, rupture de matériel (vis, broches)
- Absence de consolidation osseuse nécessitant le plus souvent une chirurgie de reprise avec greffe osseuse vascularisée
- Lésions iatrogènes (secondaires à la chirurgie) : peuvent intéresser les différentes structures de la main (nerf, artère, tendon...). Ces complications sont rares entre des mains expertes
- Hématome du site opératoire : nécessitant une reprise chirurgicale pour évacuation, uniquement en cas de complication cutanée et/ou neurologique
- Luxation d'implant APSI : rare, mais possible. Elle nécessite le plus souvent une reprise chirurgicale pour façonner le poignet afin de mieux accueillir l'implant








