Retour aux opérations de la main
Fracture du poignet
Comment est constitué le poignet ?
Le poignet est une articulation qui permet d'établir la connexion entre l'avant-bras et la main. Sur le plan osseux, il est constitué en deux parties (figure 1) :
- Les deux os de l'avant-bras : radius et ulna
- Les os du carpe, composés de huit os courts comme le scaphoïde ou le trapèze. Ils sont disposés en deux rangées de quatre os.
Qu'est-ce qu'une fracture du poignet ?
On parle de fracture du poignet quand l'un (ou plusieurs) des os qui le composent est cassé. La fracture du poignet est la fracture la plus fréquente du membre supérieur. Elle concerne principalement l'extrémité inférieure du radius, associé ou non à une fracture de l'extrémité distale de l'ulna (figure 1).
Quelles sont les causes possibles d'une fracture du poignet ?
La fracture du poignet survient schématiquement dans deux situations différentes, avec deux profils de patients également très différents :
Chez les sujets âgés, Ici, ça sera principalement la femme qui va être concernée, du fait de l'ostéoporose secondaire à la ménopause. La fracture survient le plus souvent suite à un traumatisme à basse énergie (chute de la hauteur de la personne). On observe le plus fréquemment une fracture du radius, associé ou non à une fracture de l'extrémité distale de l'ulna, ne touchant pas ou peu l'articulation.
Chez les sujets jeunes À l'inverse, chez les patients jeunes, ce sont souvent les hommes qui sont confrontés à cette pathologie. Elle fait suite à un traumatisme à haute énergie (chute de grande hauteur, accident sur la voie publique, accident de sport). Il s'agit en général de fractures complexes qui touchent souvent l'articulation.
Les symptômes d'une fracture du poignet
Lorsque le patient présente une fracture du poignet, il décrit le plus souvent un craquement, suivi d'une impotence fonctionnelle complète du poignet après le traumatisme. Dans la majorité des cas, le poignet est gonflé et très douloureux quand le patient essaye de le bouger (figure 2). En cas de fracture du radius à bascule postérieure, on peut voir un aspect typique en « dos de fourchette » du poignet (figure 3).
Quels examens pour le diagnostic de la fracture du poignet ?
En règle générale, les radiographies (poignet de face et de profil) sont suffisantes pour déceler la fracture. Les clichés radiographiques permettent de localiser son siège et d'apprécier son déplacement (figure 4).
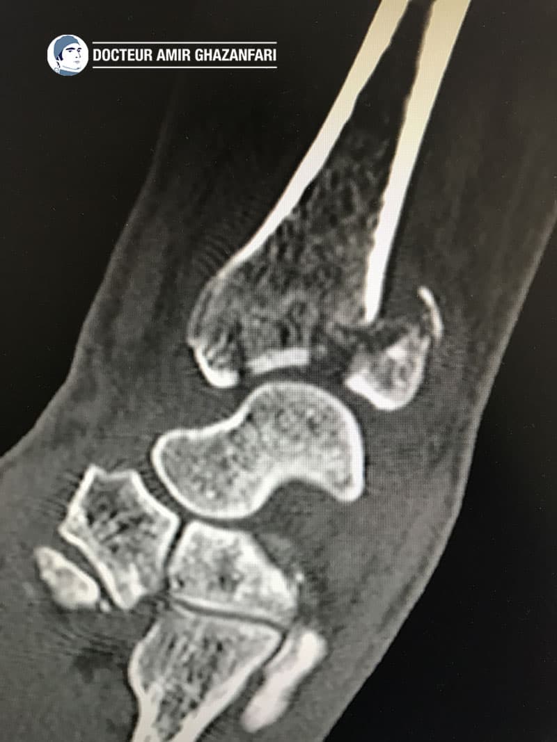
Si le patient présente une fracture complexe et/ou articulaire du radius, alors le scanner est indiqué (figure 5).
Figure 4. Fracture de l'extrémité inférieure du radius déplacée, à bascule postérieure
Figure 5. Scanner du poignet mettant en évidence une fracture articulaire du radius
Les traitements de la fracture du poignet
Le traitement orthopédique (non chirurgical) est indiqué en cas de fracture non déplacée. Une immobilisation par une machette (figure 6) ou par une attelle thermoformée sur mesure est suffisante. La durée d'immobilisation est de 45 jours. En outre, le patient fait l'objet d'une surveillance régulière. Des radiographies sont réalisées à J7, J14, J21 et J45, afin de dépister un éventuel déplacement secondaire.
Le traitement chirurgical, quant à lui, est indiqué en cas de fracture déplacée. L'objectif est de restaurer l'anatomie, tout en évitant une immobilisation prolongée. L'intervention est le plus souvent réalisée sous anesthésie loco-régionale (on endort que le bras) et en ambulatoire (pas d'hospitalisation). Le chirurgien stabilise la fracture, soit avec des broches, soit avec une plaque ou même une combinaison des deux.
Comment est choisi le matériel en cas de chirurgie ?
Le choix du matériel est fait en fonction de plusieurs critères : l'âge du patient, sa profession, mais aussi la qualité de son os et le type de fracture.
La plaque est le traitement le plus indiqué en cas d'ostéoporose, de fracture comminutive (en plusieurs morceaux) et de fracture articulaire. La plaque verrouillée permet de réaliser une réduction anatomique du radius. Les vis utilisées se verrouillent dans la plaque, afin d'éviter tout phénomène de « débricolage » et de déplacement secondaire de la fracture (figure 7). Le poignet est ensuite immobilisé pour une période de 3 à 6 semaines en fonction de la qualité de l'os et du type de fracture. La plaque est en général retirée au bout de 6 à 12 mois pour limiter les lésions tendineuses secondaires (long fléchisseur du pouce).
Les broches sont principalement utilisées chez les patients jeunes qui présentent une fracture simple, non comminutive à bascule postérieure. Trois à quatre broches sont mises en place par des petites incisions cutanées. Le poignet est ensuite immobilisé dans une machette pendant 45 jours. Elles seront retirées à J45 au bloc opérateur par le chirurgien, ou parfois en consultation.
Note : en cas de fracture articulaire déplacée de l'extrémité inférieure du radius, l'arthroscopie est le plus souvent indispensable. L'arthroscope (caméra miniature) est introduit dans le poignet afin de restaurer la surface articulaire et de limiter la survenue d'arthrose (cf. chapitre spécifique). La fracture est le plus souvent stabilisée par une plaque, des broches ou par la combinaison des deux.
Les suites post-opératoires d'une opération chirurgicale de la fracture du poignet
Après une chirurgie pour une fracture du poignet, des soins locaux sont réalisés au niveau de la cicatrice en cas d'attelle amovible. Les fils, quant à eux, sont retirés à J14. Quelle que soit l'immobilisation choisie, le pouce et les doigts doivent être libres pour éviter toute raideur digitale.
La rééducation débute dès l'ablation de l'immobilisation et des éventuelles broches. Sa durée est variable. La récupération des amplitudes du pignet se fait de manière progressive sur 3 à 6 mois.
Afin de favoriser une récupération plus rapide et de limiter la survenue d'une algoneurodystrophie en post-opératoire (syndrome douloureux local suite à un traumatisme et/ou une opération), de la vitamine C est prescrite pour une durée de trois semaines.
Les complications possibles après l'opération de la fracture du poignet
Une intervention chirurgicale présente toujours un risque de complications. Ces complications sont classées en deux catégories distinctes :
Les complications non spécifiques, on retrouve dans cette catégorie :
- L'infection du site opératoire pouvant nécessiter une intervention de nettoyage associé à la prise d'antibiotique.
- Un hématome pouvant nécessiter une évacuation en cas de menace cutanée ou de compression nerveuse.
- Une algodystrophie. Son apparition est indépendante du type de chirurgie. Elle évolue en deux phases : phase chaude (main gonflée et douloureuse, avec transpiration) puis phase froide (prédominance de la raideur). Son évolution est souvent longue, entre 12 à 18 moins. Des séquelles sont possibles : douleur et/ou raideur des articulations et/ou du poignet et/ou de l'épaule.
- Les accidents liés à l'anesthésie
Les complications spécifiques, on peut citer :
- Une lésion des branches sensitives du nerf radial, lors de la pose ou bien, notamment, lors de l'ablation des broches.
- La rupture tendineuse : elle peut survenir sur une fracture non opérée (les tendons frottent sur les bords de la fracture), après la mise en place des broches (frottement des tendons sur les broches) ou d'une plaque (frottement des tendons sur les vis et sur la plaque). La chirurgie de reprise est nécessaire (figure 8).
- La perte de la réduction avec déplacement secondaire de la fracture. Elle est fréquemment observée en cas de fracture ostéoporotique traitée avec des broches.
- Un conflit entre l'extrémité distale de l'ulna et les os du carpe (conflit ulno-carpien), secondaire à une impaction (rupture) du radius lors de la fracture. Ce conflit est responsable de douleurs en regard de l'extrémité inférieure de l'ulna (« en-dedans du poignet »). L'infiltration post-opératoire, voire la résection (réduction) de l'extrémité inférieure du radius (Wafer procedure) permet le plus souvent d'améliorer les symptômes.
- Une raideur articulaire et des douleurs résiduelles, qui peuvent survenir malgré un traitement bien conduit.
- De l'arthrose en cas de fracture du radius. L'arthroscopie permet de limiter sa survenue.
- La non-consolidation. Elle est exceptionnelle au niveau du radius. Elle peut survenir en cas de fracture de l'extrémité inférieure de l'ulna. En cas de présence d'un volumineux fragment de styloïde ulnaire (partie basse de l'ulna) associé à une gêne et une douleur du poignet lors de la prono-supination (mouvement qui permet la rotation d'une partie de membre) secondaire à une instabilité radio-ulnaire distale, une stabilisation chirurgicale est nécessaire.











